| zurück Home | Nebenwirkungen und Komplikationen der Chemotherapie | |||||||||||||||||||||||
| allgemeines | Die Dosis der Chemotherapie und der Strahlentherapie werden durch Nebenwirkungen begrenzt. | |||||||||||||||||||||||
| Knochenmark | febrile Leukopenie | Panzytopenie, Leukopenie, , Thrombopenie, Anämie | ||||||||||||||||||||||
| Paravasat | Bei intravenöser Gabe kann die ungewollte Infusion in das subkutane Gewebe Komplikationen verursachen. | Risikotabelle | ||||||||||||||||||||||
| Leber | Hepatotoxizität von Zytostatika | |||||||||||||||||||||||
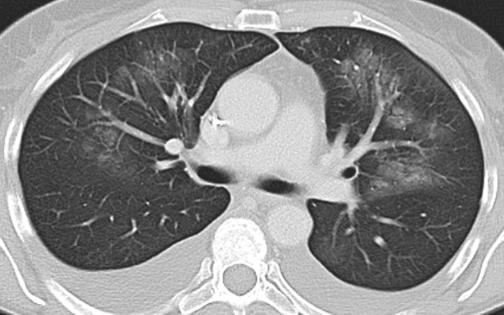
| Lunge | 57-jährige Frau mit Magenkarzinom, die nach FLOT eine Alveolitis mit respratorischer Insuffizienz entwickelte.![]() | |||||||||||||||||||||||
| periphere Neuropathie | 46-57% durch Vincristin oder Cis-Platin | Bindung von Paraproteinen an Glykoproteine der Myelinscheide. | ||||||||||||||||||||||
| Hand - Fuß - Syndrom | ![]() | |||||||||||||||||||||||
| Ovarien | Durch die Zerstörung von Follikeln kommt es zur Amenorrhoe. | |||||||||||||||||||||||
| Thrombose Khorans Score (1) |
Risiko-Schätzung für Chemotherapie - assoziierte venöse Thrombose
| |||||||||||||||||||||||
| invasive Pilzinfektion | ||||||||||||||||||||||||
| Emesis | ||||||||||||||||||||||||
| Diarrhoe | CID | Chemotherapy-induced Diarrhoea | Fluoropyrimidine, Irinotecan, MRX, Platin | |||||||||||||||||||||
| Nagel | Die Nagelmatrix wird trüb. Der Nagel löst sich
zunehmend ab und kann ausfallen. Zur Stabilisierung wird ein klarer Nagellack empfohlen.![]() |
![]() |
![]() | |||||||||||||||||||||
Teil von |
Chemotherapie | Therapie von Tumorerkrankungen | Onkologie | |||||||||||||||||||||
| Quellen |
1.) Khorana AA, Kuderer NM, Culakova E, Lyman GH, Francis CW: Development and validation of a predictive model for chemotherapy-associated thrombosis. Blood 111(2008):4902-7 | |||||||||||||||||||||||
Impressum Zuletzt geändert am 05.05.2024 19:17