histiozytisches Sarkom |
|||
| allgemeines |
| ||
Herkunft | Gelegentlich als Transdifferenzierung bei Lymphomen | ||
Epidemiologie | selten | ||
Prognose |
Aggressives Wachstum. | ||
Fallbeispiel |
64-jähriger Mann mit tumoröser Raumforderung der linken Tonsille. Die primäre Histologie war verdächtig auf ein entdifferenziertes p16-positives Plattenepithelkarzinom. Bei der Radikaloperation wurden 84 Lymphknoten der Level 2-4 beiderseits entfernt, von denen 55 metastatisch befallenen waren. Zusätzlich wurde ein nicht zugänglicher Lymphknoten unterhalb der Karina festgestellt. Die transösophageale Punktion dieses Lymphknotens ergab den Verdacht eines malignen Lymphoms. Daraufhin wurden von den zervikalen Lymphnoten zusätzliche immunhistochemische Untersuchungen durchgeführt. Nach Vorliegen der Referenzpathologie handelt es sich um den seltenen Fall eines sarkomatoiden Lymphom oder eines histiozytischen Sarkoms. Diese Zellen sehen einem entdifferenzierten Plattenepithelkarzinom sehr ähnlich. | ||
|
Immunhistochemie: keine epithelialen Marker (34βE12, AE1/3, CAM5.2, CK5/6, p63) CD30 negativ keine EBV-Assoziation (EBRE-in-situ-Hybridisierung) ALK1 negativ Perforin negativ (kein zytotoxischer Immunphaenotyp) CD4 wechselhaft, CD8 negativ S100, Vimentin z,T. kräftig positiv Melanommarker negativ (SOX10, HMB45, MART1) CD68 positiv CD163 positiv Langerin, CD56, CD123 negativ BFAF nicht mutiert | |||
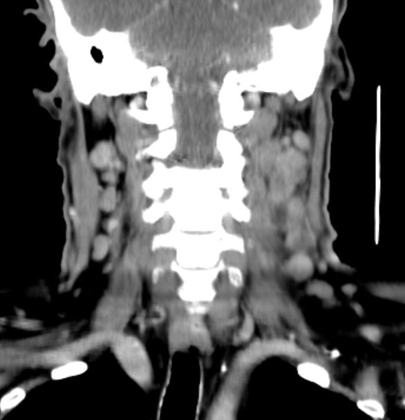
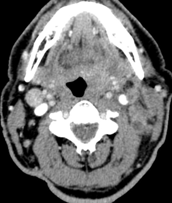
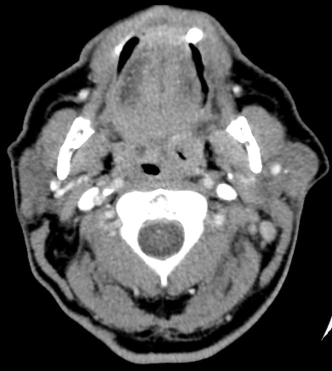
Zahlreiche vergrößerte zervikale Lymphknoten.![]() |
![]() |
![]() | |
![]() |
![]() | ||
3 cm großer Lymphknoten unterhalb der Carina.![]() |
![]() | ||
![]() |
![]() |
![]() |
|
Staging | |||
Diagnostik | |||
Morphologie | |||
Therapie |
|||
Ergebnisse | |||
Radiatio | |||
Chemotherapie |
|||
Quellen |
1.) | ||
Impressum Zuletzt geändert am 05.10.2015 21:53