zurück Home

HCL:
Haarzell - Leukämie

Allgemeines

leukämische Retikuloendotheliose, chronisch verlaufende lymphoproliferative Erkrankung

Epidemiologie

 

Prognose

90% sprechen auf die Behandlung mit Cladribin an. Bis zu 80 % sind nach 5 Jahren noch in der Remission.

Klinik

  • Knochenmarkfibrose
  • Splenomegalie
  • Leukopenie
  • z.T. Panzytopenie
  • Monozytopenie
  • Anisozytose
  • niedrige Retikulozytenwerte.

Staging

Diagnostik

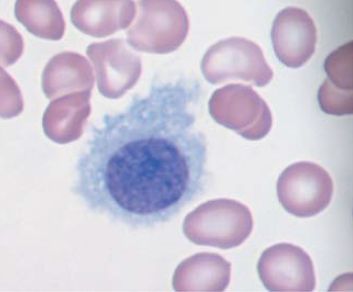
Morphologie

Im Blutausstrich haarig erscheinende reife B-Lymphozyten (hairy cells).

Molekularbiologie

Mutationen des BRAF-Gens in V600E

Immun-Histochemie

positiv
  • CD11c
  • CD25
  • Tartrat-resistente saure Phosphatase
  • CD19
  • CD20
  • CD103
negativ
  • CD5
  • CD10

Therapie

Chemotherapie

Cladribin (Litak®, Leustatin®, Purin-Analogon)
  • 7 x 24-Stunden-Dauerinfusion Leustatin® oder
  • 5 Tage 2-stündige Infusion oder
  • subkutane Injektion an 5 Tagen (Litak®)

Targettherapie

BRAF-IH: Vemurafenib Bevacizumab bei Haarzellenleukämievarianten.

Ergebnisse

Teil von

Leukämie Maligne Systemerkrankungen spezielle Tumoren Onkologie
Quellen

Impressum                             Zuletzt geändert am 14.11.2015 11:25