zurück Home

APL:
akute Promyelozyten - Leukämie

Allgemeines

Sonderform der AML. 5-10% der AML.

Epidemiologie

0,083/ 100.000 EW (1) Alter 40-50a im Mittel

Prognose

Sanz-Score (4) 21,8% frühe Todesfälle. <50a: 10,6%, >50a: 35,5% Hyperleukose (>10.000): prognostisches Alarmzeichen

Klinik

Häufig ausgeprägte Gerinnungsstörung. Panzytopenie, Müdigkeit

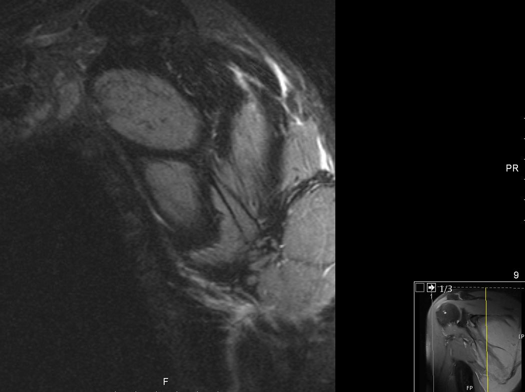
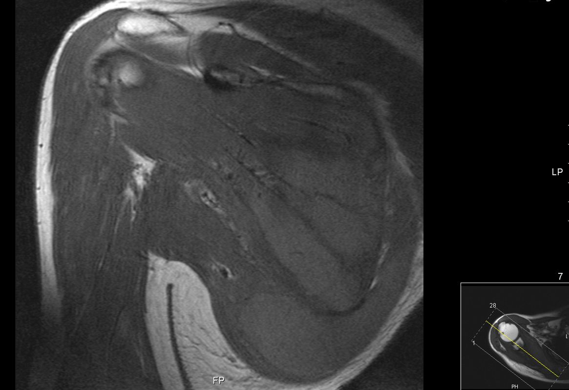
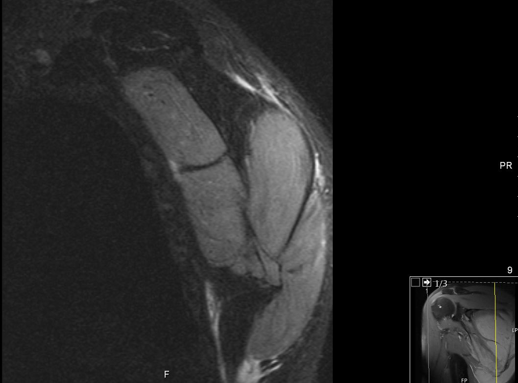
Muskelinfiltrat

63-jähriger Mann, der vor 5 Jahren eine T - Promyelozyten - Leukämie hatte. Nach ASCT bisher rezidivfrei. Jetzt beschwerden in der rechten Schulter. Das MRT zeigt intramuskuläre Raumforderungen. Die Biopsie ergab Infiltrate der APL.

Diagnostik

Klinik
  • über 50 % Gerinnungsstörungen
  • lebensgefährliche Hirnblutungen
  • thromboembolische Komplikationen
  • Blässe, Müdigkeit, Leistungsabfall
Labor
  • Blutbild, Differenzialblutbild
  • klinische Chemie
  • Hepatitis- , HIV- Serologie
  • Schwangerschaftstest
  • Gerinnungsstatus, Fibrinogen, D-Dimere
  • Knochenmarksaspirat: Immunphänotypisierung, FISH, Zytogenetik

Morphologie

Promyelozyten mit Auer-Stäbchen. Krankheitstypisch ist eine stark positive Peroxidase

Zytogenetik

Regelhaft Translokation t(15;17). Betrifft das Gen für den Retinsäure - Rezeptor - alpha (RARa) Führt zu einer PML-RARa - Fusion. PML: Transkriptionsfaktor

Therapie

APL mit Standardrisiko: all-trans-Retinsäure (ATRA) in Kombination mit Anthrazyklinen oder hochdosiertem Cytarabin 90–95 % Komplettremissionen, weniger als 10 % Rezidive häufig Myelosuppression, 5–10 % Todesfällen in kompletter Remission.

ATRA

All-Trans-Retinolsäure ist nur bei APL nicht aber bei AML wirksam. Bewirkt eine Ausreifung der Promyelozyten.

ATO

Arsentrioxyd, Trisenox® Arsentrioxid (ATO) ist bisher nur zur Rezidivtherapie zugelassen

Ergebnisse

APL 93, APL 2000

Italienisch - deutsche Studie(1)

Die Behandlung einer APL mit ATRA (all-trans-Retinsäure) und ATO (Arsentrioxid) ergab ein signifikant besseres 2a-DFS und 2a-OS bei geringeren Nebenwirkungen als mit AIDA (ATRA  + Idarubicin)!

Teil von

Leukämie Maligne Systemerkrankungen spezielle Tumoren Onkologie

Quellen

1.) Lo-Coco F, et al.:
Retinoic acid and arsenic trioxide for acute promyelocytic leukemia.
NEJM 369(2013): 111–21

2.) Paulson K, et al.:
Acute promyelocytic leukaemia is characterized by stable incidence and improved survival that is restricted to patients managed in leukaemia referral centres: a pan-Canadian epidemiological study.
BJH 166(2014):660–666

3.) Burnett AK, Russell NH, Hills RK et al.:
Arsenic trioxide and all-trans retinoic acid treatment for acute promyelocytic leukaemia in all risk groups (AML17): results of a randomised, controlled, phase 3 trial.
Lancet Oncol 2015; 16: 1295-305

4.) Sanz MA, Lo-Coco F, Martin G et al.:
Definition of relapse risk and role of non-anthracycline drugs for consolidation in patients with acute promyelocytic leukemia: a joint study of the PETHEMA and GIMEMA cooperative groups.
Blood 2000; 96: 1247-52

Impressum                           Zuletzt geändert am 16.12.2014 21:39