| zurück Home | Sarkoidose, Morbus Boeck, Morbus Schaumann-Besnier | ||||||||||||||||||||||||||||||||||||||||||
| Allgemeines |
systemische Erkrankung des Bindegewebes mit Granulombildung | Löfgren-Syndrom: Erythema nodosum bei akutem M. Boeck | |||||||||||||||||||||||||||||||||||||||||
| Epidemiologie | Inzidenz: 10-40 /100.000 EW*a | Beginn: 20-30a und 60-70a | Männer / Frauen: 2:1 | ||||||||||||||||||||||||||||||||||||||||
| besonders häufig: Schweden, Dänemark, Afroamerikaner | Selten: Mittelmeerländer, Afrika | ||||||||||||||||||||||||||||||||||||||||||
| Raucher seltener als Nichtraucher. | |||||||||||||||||||||||||||||||||||||||||||
| Pathologie | typische epithelzellhaltige Granulome ohne Verkäsung | keine zentrale Nekrose (DD Tb.) | Schaumann-Körper | Asteroid-Körper | |||||||||||||||||||||||||||||||||||||||
| Befall |
| ||||||||||||||||||||||||||||||||||||||||||
| Lymphknoten | primär Lymphknoten befallen | ||||||||||||||||||||||||||||||||||||||||||
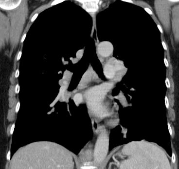
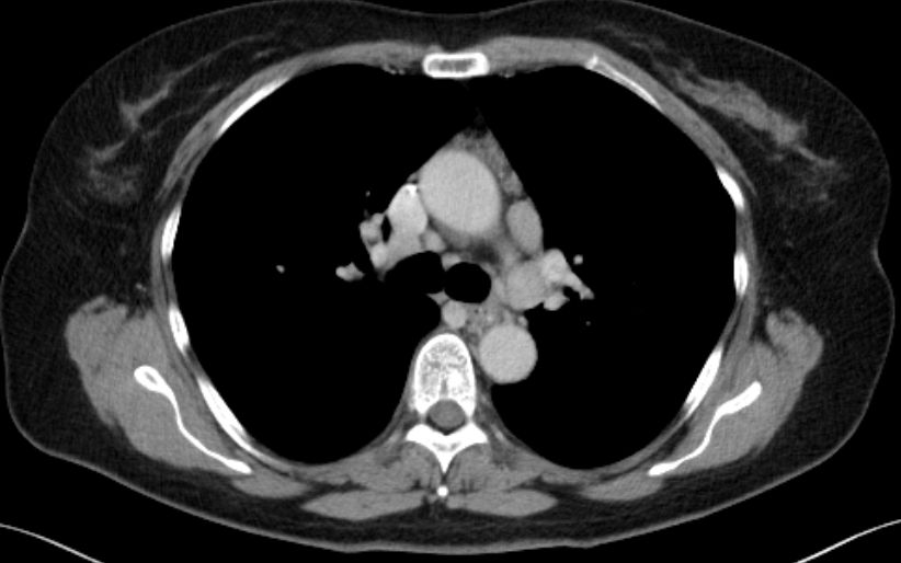
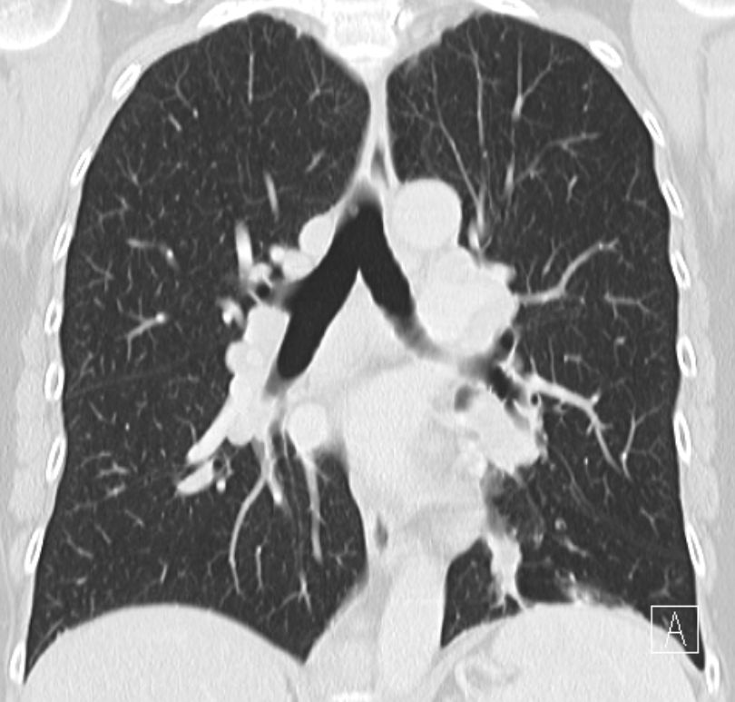
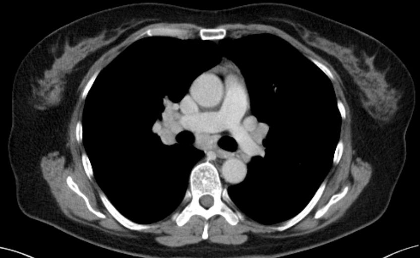
| Hilus- Lymphknoten | oft bihiläre Lymphadenopathie | 57-jährige Frau, die vor 15 Jahren ein Rektumkarzinom und vor einem Jahr ein Coecumkarzinom T4 N2b(14/14) Mo hatte. Beim Restaging vergrößerte Lymphknoten mediastinal, hilär beiderseits und paraaortal. Biopsie: floride Sarkoidose.![]() | |||||||||||||||||||||||||||||||||||||||||
![]() |
![]() |
![]() |
|||||||||||||||||||||||||||||||||||||||||
| Lungen | mediastinale Lymphadenopathie | In 70% Lungeninterstitium befallen | Folge: Lungenfibrose. | ||||||||||||||||||||||||||||||||||||||||
| Auge | 25% | Uveitis | Iridozyklitis | Tränendrüsen | |||||||||||||||||||||||||||||||||||||||
| Haut | Erythema nodosum, Erythema anulare | vorzugsweise an der Vorderseite der Tibia, rötliche Papeln | Lupus pernio: Gesichtshaut-Befall. | ||||||||||||||||||||||||||||||||||||||||
| ZNS | granulomatöse Encephalitis | Facialisparese, Mononeuritis multiplex, Polyradiculitis, Polyneuropathie | |||||||||||||||||||||||||||||||||||||||||
| Knochen | z.B. zystische Veränderungen der Fingerknochen | ||||||||||||||||||||||||||||||||||||||||||
| Milz und Leber | charakteristische Granulome. | ||||||||||||||||||||||||||||||||||||||||||
| Herz | Gefährlich ist der Befall des Erregungsleitungssystems durch Granulome. Herzrhythmusstörungen. | ||||||||||||||||||||||||||||||||||||||||||
| Niere | 15 % | Hyperkalziurie | Nierensteinbildung | ||||||||||||||||||||||||||||||||||||||||
| Immunologie | Granulome: IL-2 und IFN-γ gesteigert | typisch für CD4-positiven T-Helferzellen vom Typ 1 | zytotoxische CD8-positive T-Lymphozyten, Makrophagen | ||||||||||||||||||||||||||||||||||||||||
| Genetik | Mutation von BTNL2 auf dem Chromosom 6 erhöht die Inzidenz um 60% | ||||||||||||||||||||||||||||||||||||||||||
| akut-chronisch |
| ||||||||||||||||||||||||||||||||||||||||||
| DD | Mykobakteriosen, Kokzidiose, Histoplasmose, Katzenkratzkrankheit, Toxoplasmose, Berylliose | ||||||||||||||||||||||||||||||||||||||||||
| Löfgren-Syndrom | : Erythema nodosum bei akutem M. Boeck | ||||||||||||||||||||||||||||||||||||||||||
| Kveim-Test (5) | Nach Injektion eines Antigens bildet sich nach 4-6 Wochen ein epitheloidzelliges Granulom der Haut. | Wird aus Lymphknoten oder Milz von Sarkoidose - Patienten gewonnen. | Der Test ist nur bei aktiver Sarkoidose oder bei tuberkuloider Lepra positiv. | ||||||||||||||||||||||||||||||||||||||||
| Heerfordt-Syndrom | Sonderform der Sarkoidose | ||||||||||||||||||||||||||||||||||||||||||
Therapie |
Keine kausale Therapie. 60% Spontanremission | Symptomatischer Organbefall: Cortison, z.B. 20–40 mg/Tag Prednisolon, 6 Monate (2). 10% Cortison-refraktär.(1) | Second Line: Methotrexat, z.B. 10–15 mg/Woche (3) | ||||||||||||||||||||||||||||||||||||||||
| Langzeittherapie mit Immunsuppressiva (Azathioprin, Chloroquin)(3) | In Studien: TNF-α-Blocker (Infliximab)(4). In der BRD nicht zugelassen. | ||||||||||||||||||||||||||||||||||||||||||
| Quellen |
1.) Prasse A:
The diagnosis, differential diagnosis, and treatment of sarcoidosis. Dtsch Arztebl Int 2016; 113:565–74. DOI: 10.3238/arztebl.2016.0565 2.) Pietinalho A, Tukiainen P, Haahtela T, Persson T, Selroos O, Finnish Pulmonary Sarcoidosis Study Group: Early treatment of stage II sarcoidosis improves 5-year pulmonary function. Chest 2002; 121:24–31. 3.) Vorselaars AD, Wuyts WA, Vorselaars VM, et al.: Methotrexate vs azathioprine in second-line therapy of sarcoidosis. Chest 2013;144: 805–12. 4.) Baughman RP, Drent M, Kavuru M, et al.: Infliximab therapy in patients with chronic sarcoidosis and pulmonary involvement. Am J Respir Crit Care Med 2006; 174: 795–802. 5.) Kveim A: Nord. Med. 1941;9:169 | ||||||||||||||||||||||||||||||||||||||||||
Teil von |
Maligne Systemerkrankungen | chronische myeloproliferative Erkrankungen | spezielle Tumoren | Onkologie | |||||||||||||||||||||||||||||||||||||||
Impressum Zuletzt geändert am 10.02.2021 9:21