zurück Home

Schädelbasis - Tumoren

allgemeines

am häufigsten:

  • Meningeom
  • Neurinom
  • Hypophysenadenom
  • Kraniopharyngeom
  • Knochen/Knorpel-Neoplasien

Kraniopharyngeom

Gehörgang

Glomus

Sinus cavernosus

Tumoren im Sinus cavernosus führen zu folgenden Nervenausfällen:

  • Oculomotoriusparese (HN III): Blick nach außen, unten, Ptose, Mydriasis, keine Akkomodation
  • Trochlearisparese (HN IV): Blick nach oben medial
  • Abducensparese (HN VI): Blich nach medial
  • Nervus ophthalmicus (HN V1): Sensibilitätsstörungen oberhalb der oberen Gesichtshälfte

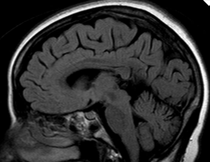
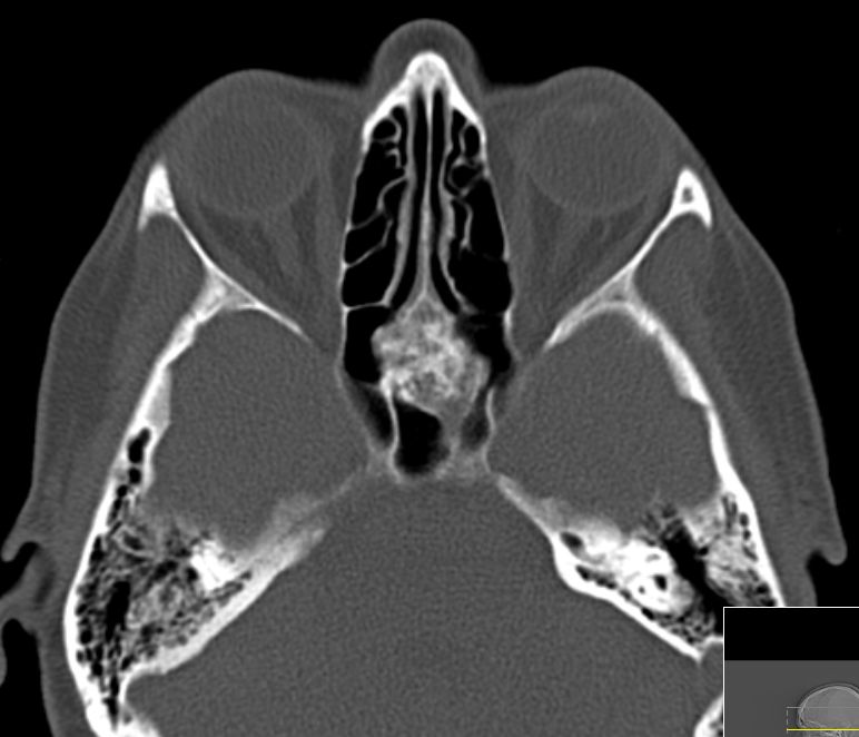
Frontobasis-Tumor

50-jährige Frau (I251), die vor 7 Jahre ein Mammakarzinom (rechts oben außen, T1c No Mo, invasiv NST hatte. Bisher metastasenfrei. Jetzt vor der Sella, in der linken Keilbeinhöhle eine z.T. verkalkte Raumforderung. 2 Jahre unverändert kontrolliert.

Teil von

HNO-Tumore Onkologie
Quellen
blauer Punkt

Impressum                           Zuletzt geändert am 04.03.2025 17:39