Oropharynx-Karzinom: Metastasierung | |||
Allgemeines |
| ||
Lymphknoten |
70% haben bei Primärdiagnose ipsilaterale Lymphknotenmetastasen | 30% bilateral. | Am häufigsten sind Level II und III befallen. |
Sinus sphenoidalis |
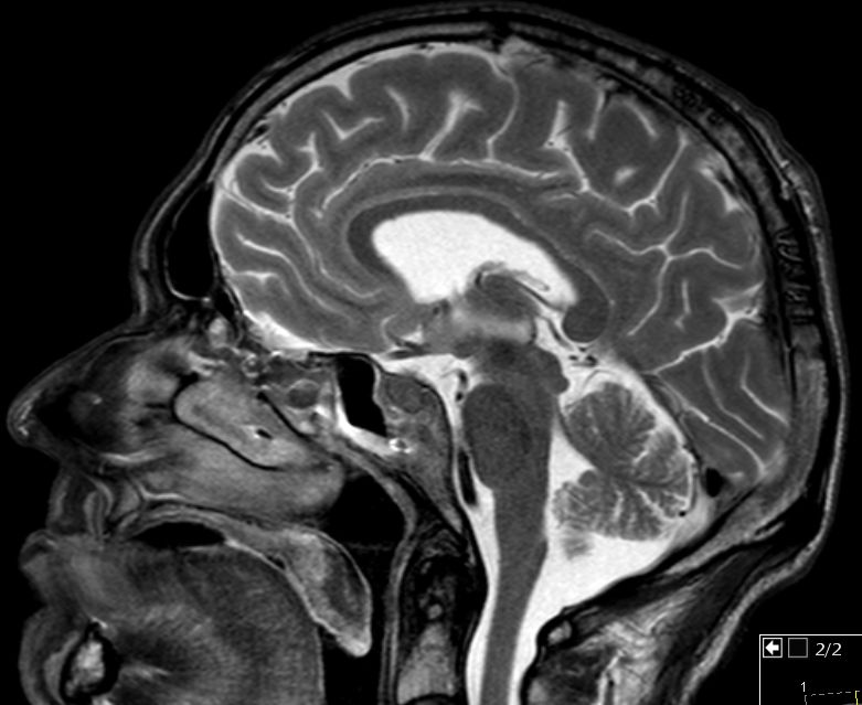
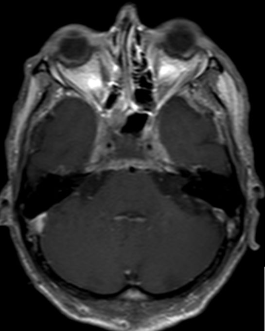
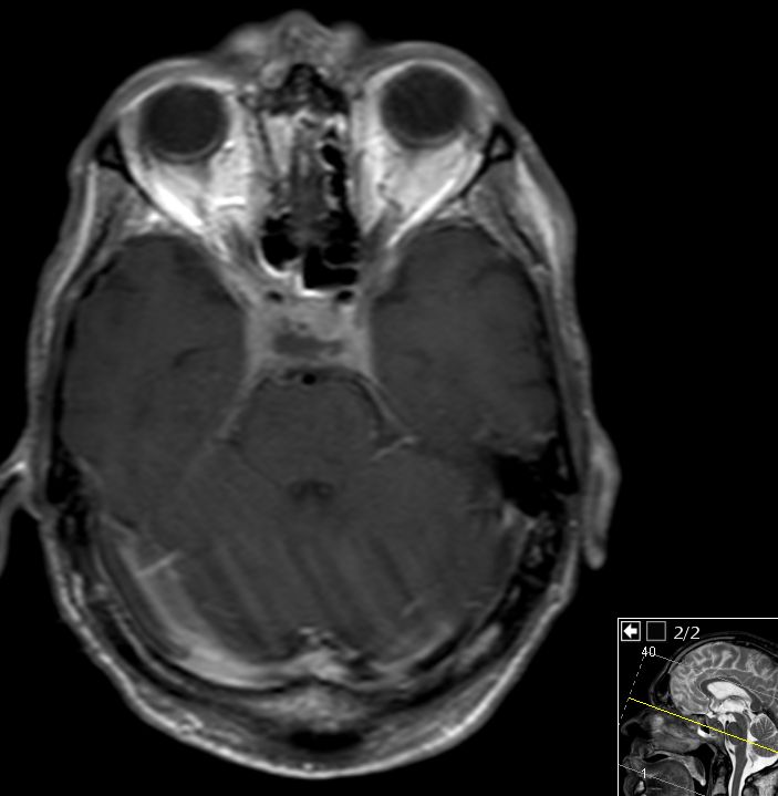
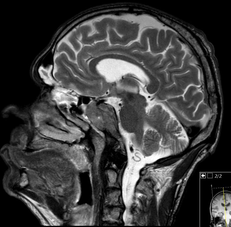
55-jähriger Mann, der vor 6 Monaten wegen eines Oropharynxkarzinoms links pT3 pN0 M0, L1, V0, Pn1 radikal operiert wurde und eine postoperative Radiochemotherapie mit Cisplatin erhielt. Jetzt Schädelbasis-Metastase im Bereich des Sinus cavernosus. Klinisch Hirnnervenausfälle links N. abducens, rechts N. opticus, - trochlearis, - trigeminus 1. Ast, unsicheres Gangbild, Störung des Schluckaktes. | ||
|
| ||
|
| ||
Quelle |
1.) , et al.: | ||
|
| |||
Impressum Zuletzt geändert am 24.11.2014 18:50