Larynx-Tumoren | |||
Allgemeines |
| ||
| 20% der HNO-Tumoren | |||
Prognose |
Lokalrezidive T1: 5-20% | ||
Klinik |
rezidivierende respiratorische Papillomatose: häufige benigne Neoplasie. HPV Typ 6 oder 11. Infektion bei der Geburt. Typ 11 ist aggressiver und kann in die Bronchien vorwachsen und zum Tod führen. Th.: operative Entfernung | ||
| Bezirke | Supraglottis | suprahyoidale Epiglottis | |
| Aryepiglottische Falte | |||
| Arythenoid - Region | |||
| Infrahyoidale Epiglottis | |||
| Taschenfalten | |||
| Glottis | Stimmlippen | ||
| Vordere Kommissur | |||
| Hintere Kommissur | |||
| Subglottis | |||
Metastasierung |
Im Bereich der Glottis sind sehr wenige Lymphegefäße. Die so pragmatischen Lymphebahnen führen zur vorderen jugulären Lymphknotenkette. Legefäße der Subglottis führen in prätracheale Lymphknoten der Mittellinie und seltener in untere zervikalen Lymphknoten.![]() | ||
| TNM-Stadien | |||
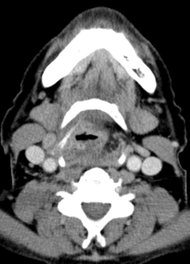
Fortgeschrittenes Larynx - Ca mit Zerstörung des Kehlkopfskeletts.![]() |
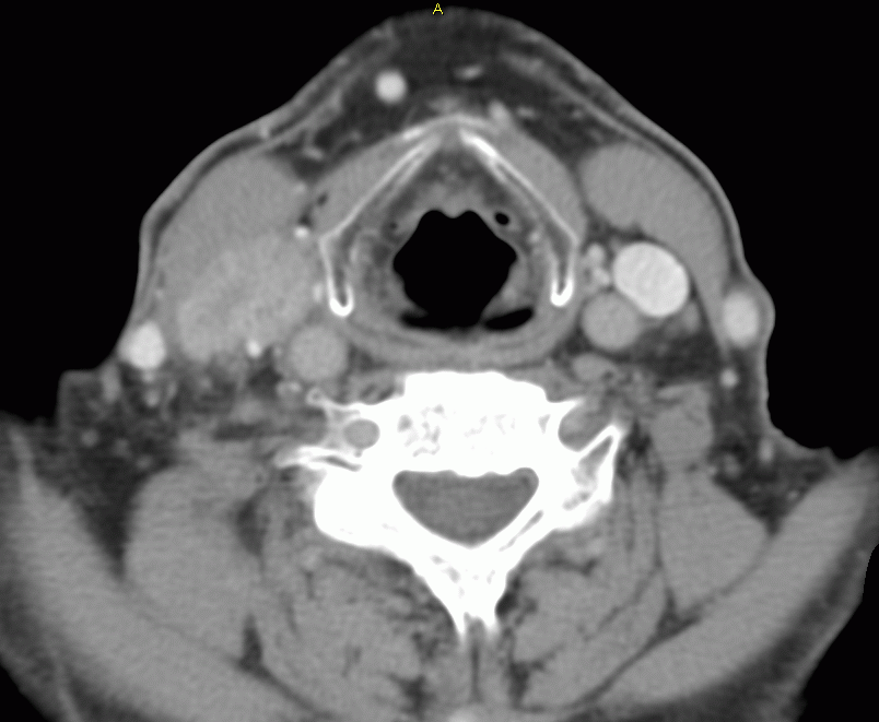
Lymphknotenrezidiv 2 Jahre nach Cordektomie.![]() |
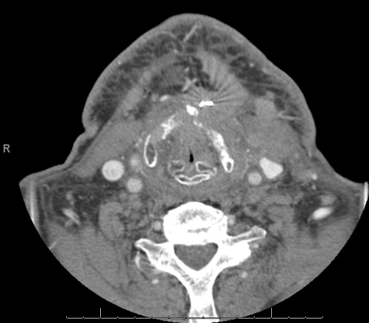
64-jähriger Mann mit stenosierendem supraglottischem T3-Tumor mit LK-Metastasen rechts.-![]() |
|
Morphologie |
fast ausschließlich Plattenepithelkarzinome | ||
Therapie | |||
Operation | Chordektomie, Larynx-Teilresektion, Hemilaryngektomie, subtotale Laryngektomie | ||
Radiatio |
Häufigste Therapie in den Stadien T1, T2 No | ||
Chemotherapie | |||
offene Protokolle | |||
Teil von |
HNO-Tumore | Onkologie | |
Impressum Zuletzt geändert am 24.11.2013 3:29