zurück Home

Hypopharynx-Tumoren

C13

Allgemeines

Hypopharynx - Tumoren sind in der Radioonkologie in Stendal die häufigsten HNO-Tumoren. In Landesstatistiken sind Larynx-Karzinome häufiger, werden aber seltener bestrahlt.

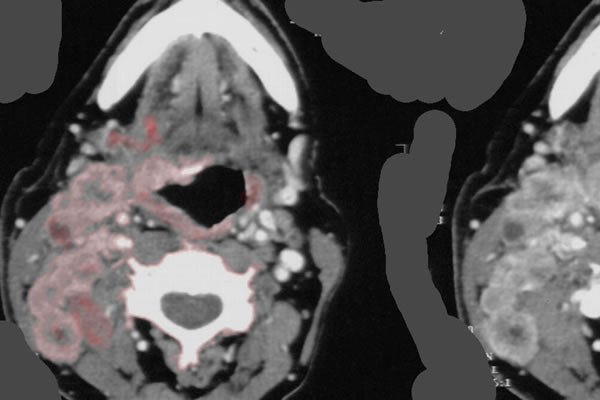
Das CT zeigt ein ausgedehntes Hypopharynxkarzinom mit zervikalen Lymphknotenmetastasen (rosa coloriert).

Epidemiologie

Prognose

Klinik

CT Hypopharynx-Ca

Metastasierung

Staging

Diagnostik

Morphologie

Therapie

Operation

Radiatio

Chemotherapie

offene Protokolle

Ergebnisse

Nach der Topographie unterscheidet man: Pharynx-Hinterwand- , postcricoidale und Sinus-piriformis-Tumoren.
Regionen
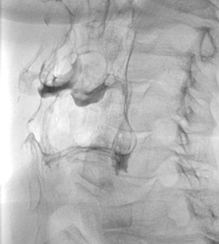
Kontrastdarstellung des normalen Sinus piriformis

Rest

Teil von

HNO-Tumore Onkologie

Quelle

Impressum                           Zuletzt geändert am 14.08.2021 16:03