| zurück Home | Merkel-Zell-Karzinom | |||
| allgemeines | MCC, Merkel Cell Carcinoma, neuroendokrines Karzinom der Subkutis | |||
| Epidemiologie | 0,4 Neuerkrankungen /100.000 EW*a , Auftreten in höherem Alter. | Häufiger bei HIV und nach Organtransplantation (Immunrepression). Assoziation mit Spinaliom, Basaliom, M. Bowen und Leukämie. | Inzidenz in Finland 1989-2008: 0,11 für Männer, 0.12 für Frauen (2). Alter bei Diagnose: 76a (27-100a) (2). | |
| MCPyV | Merkel-cell polyomavirus | MCPyV - T - Antigen in 80% der MCC exprimiert. | Inaktiviert p53 und Rb. 9. | |
| Prognose | sehr aggressiver Tumor. 5a-Überlebensrate: No- 75%, N1- 59%, M1- 25%. | Ungünstig: Rumpf-, Kopf-Hals-Bereich. | Im finnischen Krankengut (2) betrug die 5a-Überlebensrate 36% bei Männern, 69% bei Frauen. | |
| Klinik | solide, indolente, intrakutane Knoten von rötlicher oder livider Färbung | halbkugelig, knotig, selten plaqueförmig. Ulzeration sehr spät. | Am häufigsten im Kopf-Hals-Bereich (2). | |
| Stadien | ||||
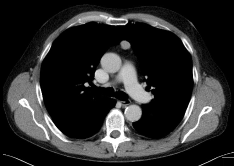
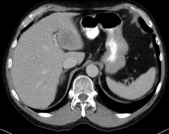
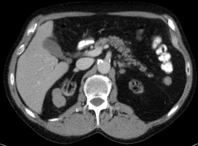
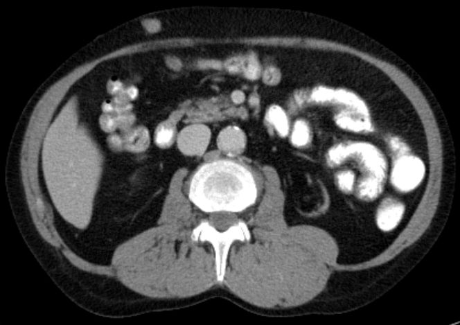
| Metastasierung | 65-jähriger Mann mit primär metastasiertem Merkelzelltumor.
Metastase im vorderen Mediastinum![]() |
Lebermetastase im linken Leberlappen![]() | ||
Metastase lateral der rechten Restniere und
unterhalb des Colon descendens. ![]() |
Metastase in der Bauchdecke.![]() |
Metastase ventral der Transplantatniere.![]() | ||
| Diagnostik | Sicherung durch Exzision. Sonographie der drainierenden Lympfknoten, Oberbauchsonographie, Rö-Thorax, Octreotid-Szintigraphie. | |||
| Morphologie | Ausbreitung in der retikulären Dermis und Subkutis. | Epidermis, Hautadnexe und papilläre Dermis werden ausgespart. | CD 56 positiv (neuroendokrines Karzinom, spezifischer als Chromogranin A oder NSE) | |
| TDF1 ist für kleinzellige Karzinome ohne Wert. | TDF1 kommt außer bei Lungentumoren auch z.B. in kleinzelligen Tumoren des Uterus vor. | CK20 ist positiv als Zeichen der dermalen Herkunft. | ||
| Therapie | Primäre Operation. | |||
| Operation | Primäre Operation: Exzision mit 3cm Sicherheitsabstand, Sentinell - OP. | Bei positivem Sentinell - Lymphknoten: radikale Lymphonodektomie. | Im finnischen Krankengut (2) ergab sich keine bessere Kontrolle, wenn der Sicherheitssaum > 2cm im Vergleich zu 1-19mm war. | |
| Radiatio | Das MCC ist strahlensensibel. Nach Ro-Resektion sollte das Tumorgebiet und der Lymphabfluss bestrahlt werden. | Im finnischen Krankengut (2) hatte keiner im Stadium I oder II mit postoperativer Radiation ein Lokalrezidiv. | Eine SEER-Analyse (3) ergab ein besseres Überleben mit adjuvanter Strahlentherapie. | |
| Chemotherapie | Das MCC ist chemosensibel. | Keine Standard-Chemotherapie. | Üblich sind Antrazykline, Antimetabolite, Cyclophosphamid, Etoposid, Platin-Derivate. | |
| Immuntherapie | Avelumab | |||
| Ergebnisse | Pembrolizumab-Studie | Mit Pembrolizumab konnte bei fortgeschrittenen Merkelzell - Karzinomen in 56 % ein Response erzielt werden. | ||
| JAVELIN Merkel 200 | Zulassungsstudie von Avelumab | |||
Teil von |
Haut - Tumoren | spezielle Tumoren | Onkologie | |
| Quelle |
1.) Becker J. et al.: Onkologische Leitlinien: Kutanes neuroendokrines Karzinom. JDDG 6 Sup. 1 (2008) 16-18 2.) Kukko H, Böhling T, Koljonen V, Tukiainen E, Haglund C, Pokhrel A, Sankila R, Pukkala E: Merkel cell carcinoma - A population-based epidemiological study in Finland with a clinical series of 181 cases. Eur J Cancer 2011 [Epub ahead of print] Helsinki Universität 3.) Albores-Saavedra J, et al.: Merkel cell carcinoma demographics, morphology, and survival based on 3870 cases: a population based study. J Cutan Pathol 37 (2010) :20–27 4.) Sondak VK, et al. (Eds.): Merkel cell carcinoma. World Scientific 2010 5.) Tai PT, Yu E, Winquist E, et al.: Chemotherapy in neuroendocrine/Merkel cell carcinoma of the skin: case series and review of 204 cases. J Clin Oncol 2000; 18: 2493-9. 6.) Vordermark D, Höller U: The role of radiotherapy in the updated German S2k guideline for management of Merkel cell carcinoma. Strahlenther Onkol doi.org/10.1007/s00066-023-02068-8 | |||
Impressum Zuletzt geändert am 05.05.2022 6:46