zurück Home

Klinik der Vulva - Tumoren

Allgemeines

 

Epidemiologie

Inzidenz: 2 /100.000 Frauenjahre. Erkrankungsalter 60 - 80a. Durchschnittsalter sinkt in Deutschland.

Prognose

Klinik

Zentral nekrotischer Tumor, der die gesammte rechte Labia minora einnimmt

Fall

  • Fall M364 65 Jahre alt
  • 04/2010 Vulva – Ca. pT1b cN0 M0, G1
  • lokale Exzision
  • weitergehende Therapie abgelehnt
  • 10.2011 Labienresektion bds.
  • Histologie: hochdifferenziertes Plattenepithelkarzinom auf den Boden eines Lichen sklerosus bds. R1
  • Nachresektion abgelehnt
  • 01/2012 progrendientes Rezidiv
  • radikale Vulvektomie mit inguinaler Lymphonodektomie bds
  • pT2 pN2c (16/26) M0 G2 R0 V0
  • Histologie: invasives Plattenepithelkarzinom
  • postoperativ tiefe Beinvenenthrombose, Nahtdehiszenz, Serom der Leisten
  • 4/2012 Beginn der Bestrahlung
  • 5/2012 disseminierte Knochenmetastasen

Staging

FIGO und TNM - Stadieneinteilung

Lymphknoten - Metastasen

Das Risiko von Lymphnotenmetastasen in der Leiste hängt bei T1-Tumoren von der Invasionstiefe ab.

CT

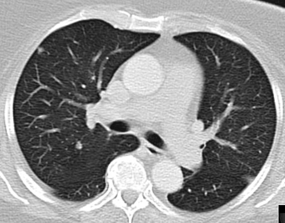
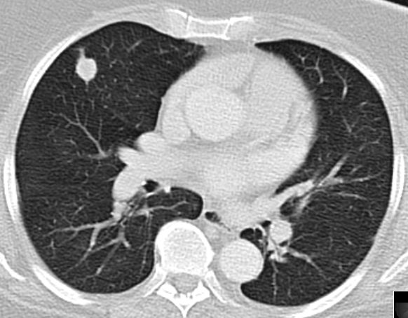
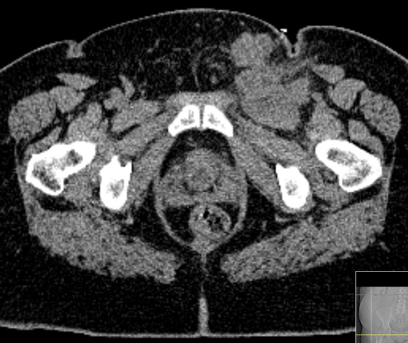
61-jährige Frau mit Adipositas, Diabetes mellitus,  Hypertonie, Cholezystektomie. Vor 2 Jahren Vulva-Karzinom pT1b pN1b (1/24) M0 G2 . Vulvektomie rechts, Hemivulvektomie links mit, Sentinel-Lymphonodektomie inguinal bds. Vor 4 Monaten Lymphknotenmetastase links, R2 - Resektion, Bestrahlung abgelehnt. Jetzt progrediente Leistenmetastasierung.
Lungenmetastasen

Diagnostik

Collins-Test: 1% Toluidinblau, dann 2% Essigsäure

Teil von

Vulva-Tumoren Gynäkologische Onkologie Onkologie Vulva (Medizin)

Quellen

1.) AGO
Interdisziplinäre S2k-Leitlinie für die Diagnostik und Therapie des Vulvakarzinoms und seiner Vorstufen.
Zuckschwerdt Verlag, München 2009

Impressum                         Zuletzt geändert am 18.07.2025 23:08