zurück Home

Tumoren der Tuba uterina

Allgemeines

 

Epidemiologie

Prognose

Klinik

Metastasierung

Staging

Diagnostik

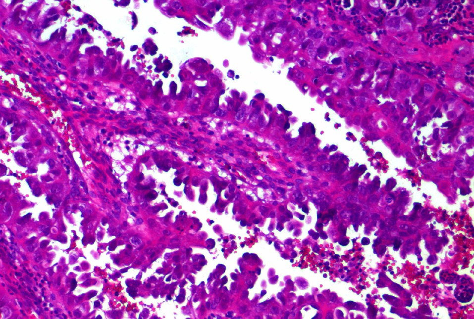
Morphologie


HE-Färbung, Pollak, K.-H.†, Praxis für Pathologie, Pollak-Lüders-Schulze, Stendal

Therapie

Operation

Radiatio

Chemotherapie

offene Protokolle

Ergebnisse

Quellen 1.) :

Teil von

seltene gynäkologische Malignome Gynäkologische Onkologie Onkologie Gynäkologie

Impressum                         Zuletzt geändert am 08.01.2024 22:12