zurück Home Nebenwirkungen der Brustbestrahlung
allgemeines
Brustöden
Erysipel 67 jährige Patientin, die nach Post erhalten der Operation eines Mammakarzinoms unter der Bestrahlung ein ausgeprägtes Erythem und über Erwärmung entwickelte.
Das Bild zeigt, dass die Rötung der Strahlenfeld deutlich überschreitet.
Die Rötung ist innerhalb und außerhalb des Strahlenfeldes gleich stark.
Es handelt sich also nicht um ein Strahlen-Erythem sondern um ein Erysipel.
 Erysipel
Pneumonitis 53-jährige Frau mit Mammakarzinom links. 3 Monate nach brusterhaltender Therapie und Bestrahlung der Brust wird die Patientin wegen einer Pneumonie ins Krankenhaus eingewiesen. Nach Gabe von Antibiotika zunächst nur geringe Besserung.
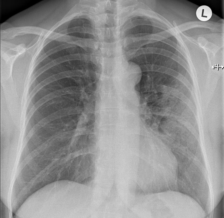
Das Thoraxbild zeigt ein Infiltrat im linken Mittelfeld.
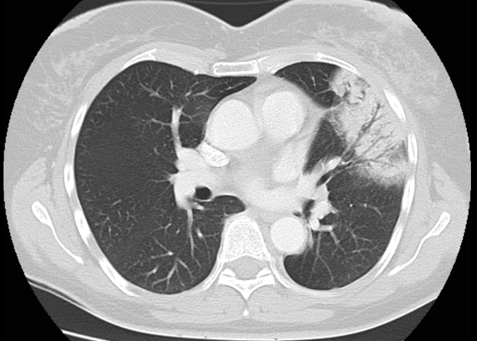
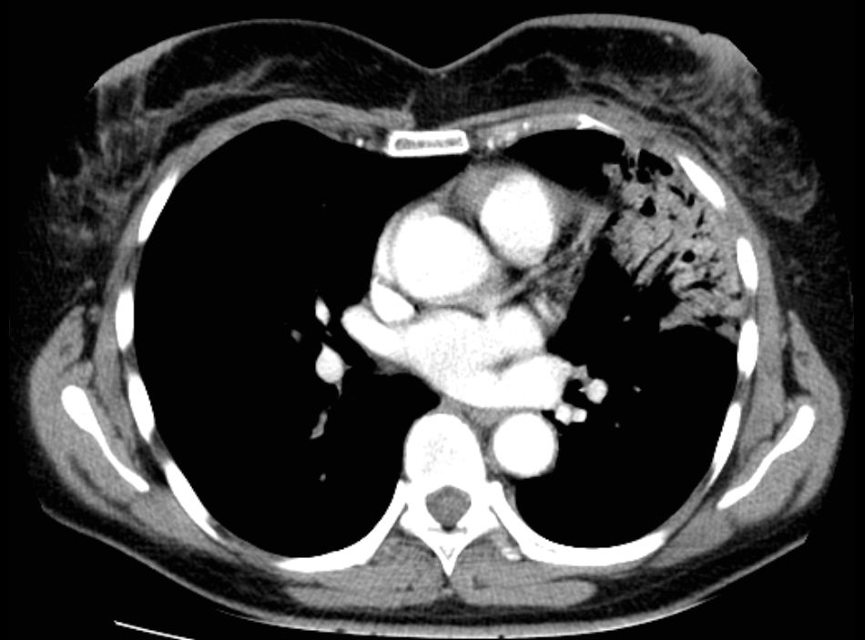
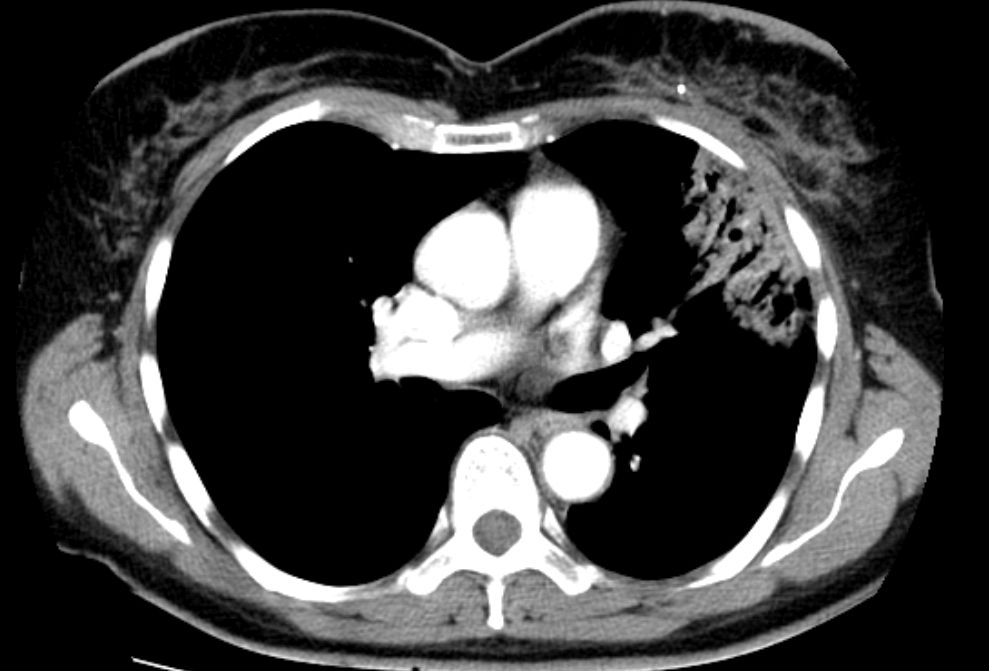
Das CT zeigt eine Anschoppung direkt unter der bestrahlten Brust. Negatives Bronchogramm gut erkennbar.
Durch ein leichte Trichterbrust war ungewöhnlich viel Lungenparenchym in der Tangente bestrahlt.
Rippennekrose
bleibende Veränderungen
trockenere Haut, besonders Areola und Umschlagfalte
persistierende Hyperpigmentierung
persistierende Peau d'Orange, besonders nach radikaler Lymphonodektomie und großer Brust
festeres, z.T. druckempfindliches Parenchym
"Lifting" gegenüber der nicht bestrahlten Brust
Kosmetik kosmetische Messung
Quellen 1.) , et al.:


Impressum                           Zuletzt geändert am 18.05.2017 16:48