| zurück Home | invasives lobuläres Mammakarzinom | |||||||||
| allgemeines | nach dem duktalen invasiven Mammakarzinom am häufigsten. | LIN: lobuläres in situ-Karzinom | ||||||||
| E-Cadherin | Mutation bei hereditärem diffusem Magenkarzinom. | 40–50% der Frauen mit E - Cadherin-Mutation entwickeln ein lobuläres Mammakarzinoms(2). | ||||||||
| Histochemie | E-Cadherin negativ! Bei duktalen Tumoren immer positiv. Wird für die mangelnde Kohärenz lobulärer Karzinomzellen verantwortlich gemacht. | |||||||||
| SEER -Daten | 22,719 lobuläre und 201,517 duktale Mammakarzinome | |||||||||
| Ergebnisse | mehr T3-Tumoren | |||||||||
| Grading | Nottingham Grad(1):
| |||||||||
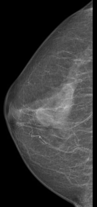
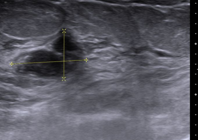
| Mammographie | 76-jährige Patientin mit multiplen Metastasen in Wirbelsäule und Leber. Zunächst kein Tastbefund der Brust. Dann suspekter Tastbefund rechts oben außen paramamillär. Mammographie zunächst o.B. befundet. Stanzbiopsie rechts oben außen: lobuläres Karzinom. | |||||||||
![]() |
![]() | |||||||||
![]() |
![]() | |||||||||
![]() |
![]() |
![]() | ||||||||
Teil von |
Histo - Pathologie der Brust | Mamma - Karzinom | Gynäkologische Onkologie | |||||||
| Quellen |
1.) Wachtel MS, Halldorsson A, Dissanaike S: Nottingham Grades of Lobular Carcinoma Lack the Prognostic Implications They Bear for Ductal Carcinoma. J Surg Res. 2010[Epub ahead of print] Texas University 2.) Pharoah PD, et al.: Incidence of gastric cancer and breast cancer in CDH1 (E-cadherin) mutation carriers from hereditary diffuse gastric cancer families. Gastroenterology 121(2001):1348–1353 | |||||||||
Impressum Zuletzt geändert am 01.05.2025 19:30