Rezidiv eines Endometrium - Karzinoms | |||
Allgemeines |
Vaginal - Rezidive nach OP und Brachytherapie der Scheide sind selten. | ||
Introitus |
72-jährige Frau mit Endometrium - Karzinom pT1b pNo(0/22) Mo G3 L1 Vo ER++ PR- |
||
OP |
erweiterte Hysterektomie mit pelviner und paraaortaler Lymphonodektomie |
||
Brachytherapie |
HDR - Brachytherapie mit 4 x 5Gy in 5mm Gewebetiefe, 1x/Woche, Kolpostat 30mm, Behandlungslänge 60mm | ||
Rezidiv |
12 Monate post OP: bohnengroße, mobile Metastase rechts lateral unmittelbar am Introitus. Bei der Exzision 2. Herd am Introitus. |
||
Scheidenvorderwand |
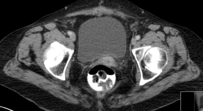
89jährige Frau mit einen ca. 3 cm großen gut tastbaren Rezidiv an der Scheidenvorderwand. Sonographisch Blasenwand infiltriert. Cystoskopie: Vorwölbung aber keine Infiltration der Mukosa.![]() |
||
Scheidenende |
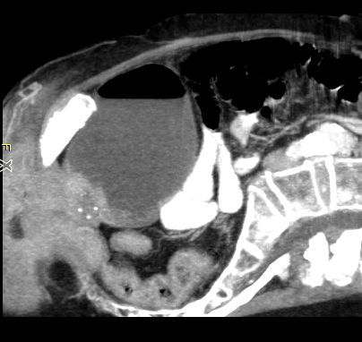
75-jährige Frau, bei der vor 3 Jahren ein Vaginalkarzinom exzidiert und bestrahlt wurde. Vor einem Jahr Endometriumkarzinom FIGO IB, G2, OP ohne Nachbehandlung. Jetzt Rezidiv des Endometriumkarzinoms am Scheidenende.![]() | ||
Impressum Zuletzt geändert am 27.11.2012 13:12