zurück Home

CUP

Allgemeines

Cancer of Unknown Primary. Nachweis von Metastasen bei unbekannten Primärtumor.
Epidemiologie Inzidenz: 6–12 Fälle pro 100 000 EW * a 2–4 % aller neu diagnostizierten Krebserkrankungen Hals-Lymphknoten-Metastasen bei unbekanntem Primärtumor sind 5% der HNO-Tumoren
Stadien keine Stadieneinteilung üblich
Prognose hängt vom Ort der Metastasen ab. Hals-Lymphknoten haben eine günstige Prognose. Hirn, Lungen und Lebermetastasen sind ungünstig.
Klinik Organbefall (2,3)
  • Lymphknoten 40–45%
  • Leber 30–40%
  • Skelett 25–35%
  • Lunge 30–40%
  • Pleura 5–15%
  • Peritoneum 5–10%
  • Zentralnervensystem 5–10%
  • Nebennieren ~ 6 %
  • Haut    ~ 4 %
Metastasierung .
Diagnostik Vor der Diagnose eines CUP sollte eine umfangreiche Primärtumorsuche erfolgen: CT: Hals, Körperstamm, Panendoskopie, Bronchoskopie, Gastroskopie, Coloskopie, PET
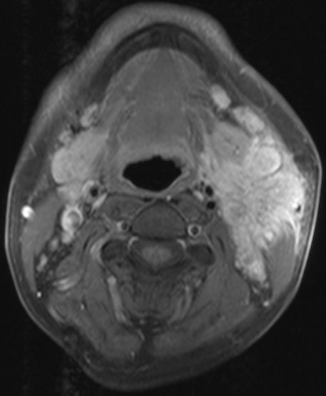
Hals-CUP 49jährige Frau mit Metastasen eines schleimbildenden Adenokarzinoms.
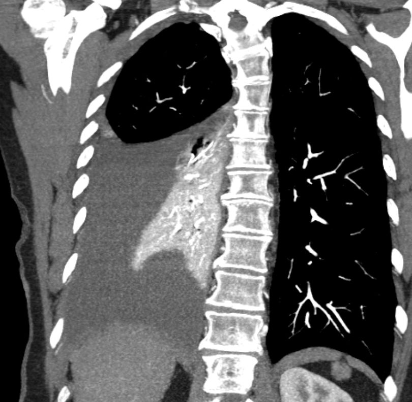
Mamma-CUP 61-jährige Patientin mit Pleuraerguss. Biopsie und Pleurodese Metastasiertes schlecht differenziertes Adenokarzinom ER 12/12; Her2Neu 1+. Mammographie, Mamma-Sonographie, Mamma-MRT o.b.CT Thorax/Abdomen o.B..
Morphologie .
Molekularbiologie Nach molekularbiologischer Typisierung konnte das Therapieergebnis verbessert werden(1).

offene Protokolle

CUPISCO Zielgerichtete Therapie nach genomischem Profiling versus platinhaltige Chemotherapie bei Metastasen von unbekanntem Primärtumor (in Planung)

Quellen

1.) Hainsworth JD, et al.:
Molecular gene expression profiling to predict the tissue of origin and direct site-specific therapy in patients with carcinoma of unknown primary site: A prospective trial of the Sarah Cannon Research Institute.
J Clin Oncol 31(2013): 217–23.

2.) Zaun G, Schuler M, Herrmann K, Tannapfel A:
CUP syndrome—metastatic malig nancy with unknown primary tumor.
Dtsch Arztebl Int 2018; 115: 157–62.
DOI: 10.3238/arztebl.2018.0157

3.) Pavlidis N, Pentheroudakis G:
Cancer of unknown primary site.
Lancet 2012; 379: 1428–35.

Teil von

spezielle Tumoren Onkologie

Impressum                         Zuletzt geändert am 31.01.2016 19:53