| zurück Home | Trachea - Karzinom | |||
Allgemeines |
Trachealkarzinome sind den Bronchialkarzinomen ähnlich. Die Operation ist schwierig, da die resezierte Strecke überbrückt werden muss. | |||
CT |
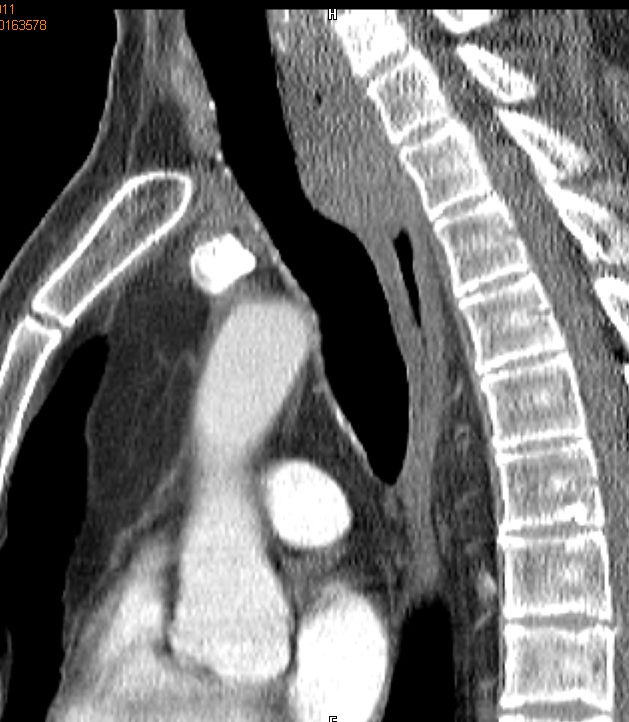
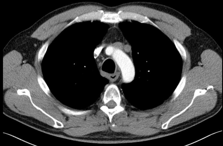
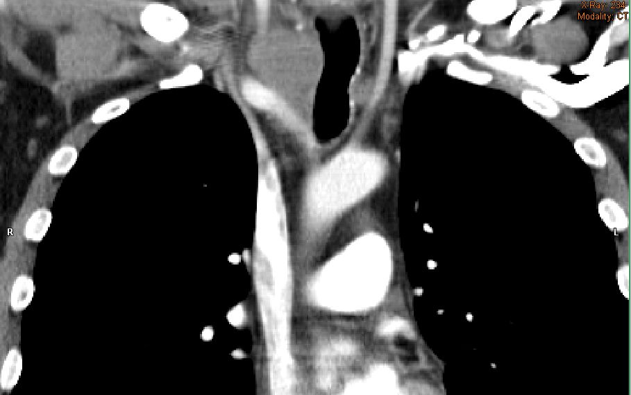
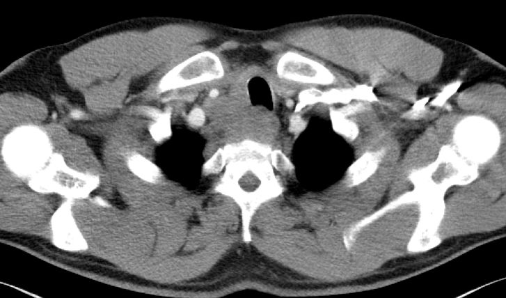
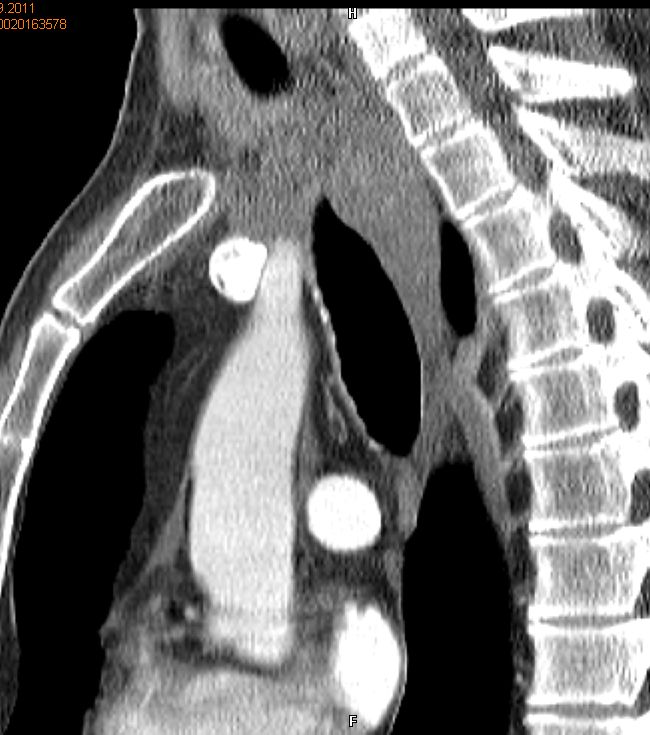
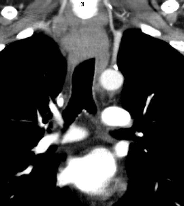
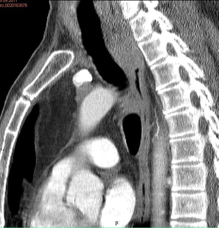
Rezidiv nach Radiochemotherapie eines kleinzelligen Tracheakarzinoms mit großer supraclavikulärer Metastase | |||
![]() |
![]() | |||
![]() | ||||
![]() |
![]() | |||
![]() |
![]() |
|||
![]() |
![]() | |||
![]() | ||||
Bestrahlung |
Konturierung: GTV + 6 mm = CTV + 7 mm = PTV | |||
| Quellen |
1.) Cameron RB, Gage DL (Eds.): Modern Thoracic Oncology. Vol. 2: Trachea, Lung, and Pleura. WorldSciNet 2018 ISBN 978-981-4725-51-4 |
|||
Teil von |
Tumoren des Thorax | Onkologie | ||
Impressum Zuletzt geändert am 09.08.2023 17:46