Mesotheliom: Diagnostik | ||||
| Allgemeines |
||||
| Pleuraerguss | In 90% erstes Symptom | Zytologie nur in 50% tumorzellhaltig | ||
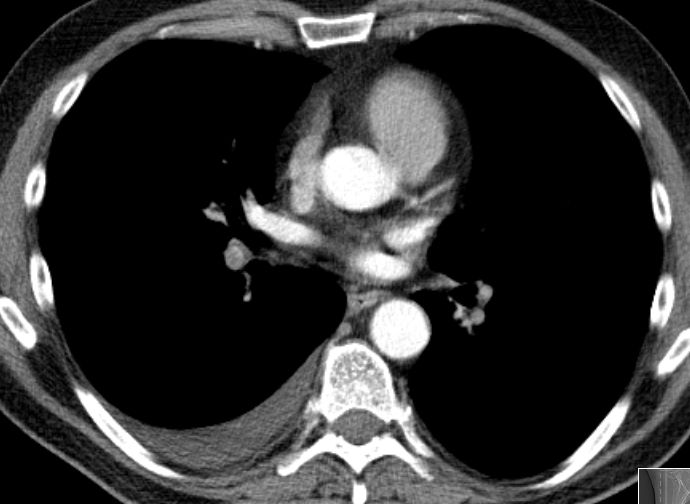
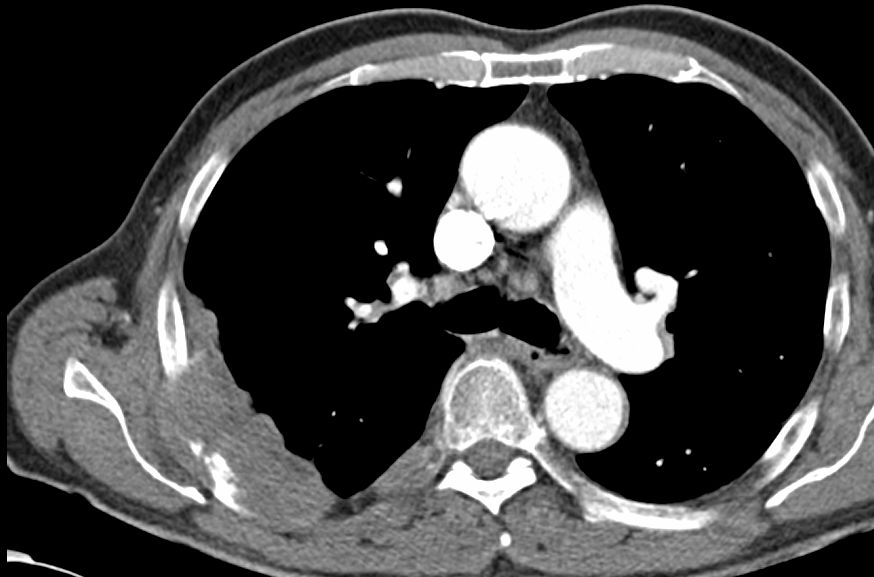
| CT | Tumorausdehnung, Lymphknotenmetastasen (2) | 75-jähriger Mann mit langer Asbest-Exposition. Starke therapieresistente Schmerzen des rechten Thorax.![]() |
||
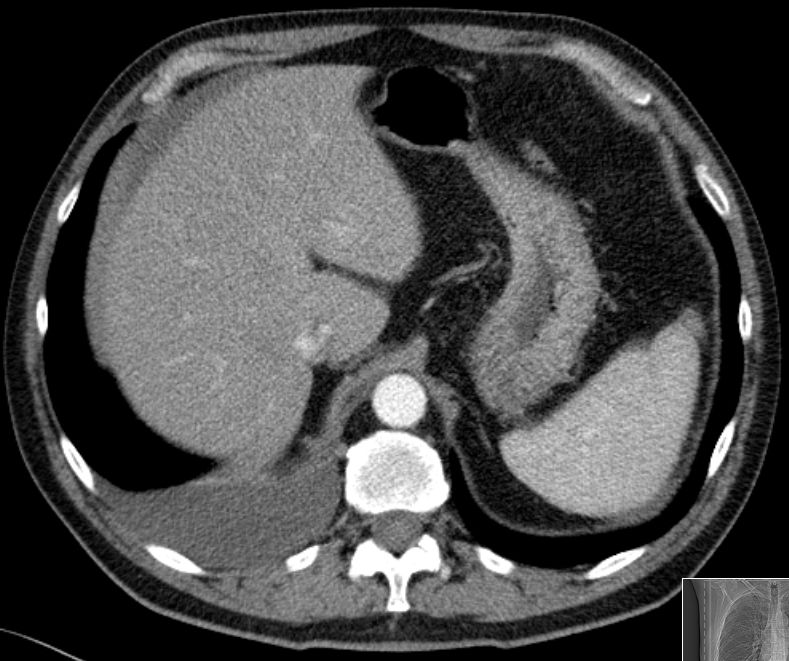
| Fallbeispiel | 63-jähriger Mann, bei dem ein rechtsseitiger Pleuraergusses auffiel.
![]() |
Im Oberbauch ein schmaler Aszitesrand um die Leber erkennbar. Histologisch epitheloides Pleuramesotheliom mit Peritonealbefall (im CT nicht erkennbar).
![]() |
![]() | |
| MR | Bessere Beurteilung der Brustwand- und Zwerchfellinvasion als CT(2) | |||
| Thorakoskopie | VATS: Video Assisted Thoracoscopic Surgery (1) | Empfohlen zur Abklärung von Pleuraergüssen unklarer Genese. | ||
| Sensitivität 95–98 % Spezifität 100 % |
gleichzeitig Pleurodese möglich | Darstellung des Situs zur Beurteilung der Operabilität | ||
| Quellen |
1.) Attanous R, Gibbs A: The comparative accuracy of different pleural biopsy techniques in the diagnosis of malignant mesothelioma. Histopathol 53(2006): 340–4 2.) Gill R: Imaging of mesothelioma. Recent Res Cancer Res 189(2011): 27–55 | |||
Impressum Zuletzt geändert am 21.07.2013 12:35