| zurück Home | allgemeine Onkologie | |||
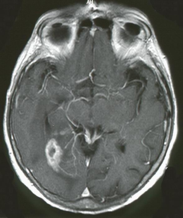
| Epidemiologie | Krebs-Risiko | Tumor - Statistik | ![]() MRT eines Patienten mit Glioblastom im linken Okzipitallappen. Nach Gadolinium - Gabe starke Anreicherung im Tumorgewebe. Darstellung von Tumorgefäßen. |
|
| ICD - Klassifikation | Staging | Da Therapie und Heilungschance von der Tumorausbreitung abhängen, ist ein einheitliches und korrektes Staging wichtig. | ||
| Karzinogenese | Krebs - Ursachen | Die Krebsentstehung ist ein mehrsschrittiger, komplexer Vorgang, der nicht eine Ursache hat. | Es lassen sich aber klinische, genetische, chemische, virologische Risikofaktoren ermitteln. | |
| Onkogene | Tumormarker | Manche Tumoren sondern Tumormarker ins Blut ab, die dann im Labor gemessen werden können. | ||
| Tumorbiologie | Fertilität | |||
| Tumorviren | Normalerweise töten Viren ihre Wirtszellen, um sich zu vermehren. | In manchen Fällen kommt es jedoch zum Einbau in das Genom der Zelle, die dadurch zur Tumorzelle transformiert oder für eine Malignisierung anfällig wird. | ||
| Genetik | Erbliche genetische Veränderungen können die Anfälligkeit für Tumorleiden verändern. | Genetische Veränderungen einzelner Zellen können aus normalen Zellen Tumorzellen machen und deren Eigenschaften bestimmen. | ||
| Tumor-Physiologie | Tumoren unterscheiden sich von normalen Geweben in ihrem Stoffwechsel und ihrem Blutkreislauf. | |||
| Studien | Studien sind die wichtigste Erkenntnisquelle der klinischen Onkologie. | In randomisierten Studien werden ausgewählte Patienten nach dem Zufallsprinzip scheinbar gleichwertigen Behandlungen zugeordnet, um die beste Therapie herauszufinden. | ||
| Register | Tumorregister sammeln systematisch alle individuellen Daten von Tumorpatienten und speichern sie anonymisiert ab. | Sie stellen diese Daten Wissenschaftlern zur Forschung zur Verfügung. | ||
| Zentren | Liste aller deutschsprachigen DKG-zertifizierten Tumor- und Organzentren (z.B. Brustzentrum, Darmkrebszentrum) | |||
| Leitlinien |
![]() Leitlinien - Portal |
Onkopedia | Leitlinienwatch | |
| Gesellschaften: | DKG, DeGRO, ESTRO, ECCO, ASCO, ASH, ASTRO, IARC AACR | |||
| Organisation | DKG-Zertifizierungssystem, Onkologisches Zentrum, Brustzentrum, Darmkrebszentrum | |||
| Quellen |
1.) Aigner KR, Stephens FO (Hrsg.): Onkologie Basiswissen. Springer 2016. | |||
Teil von |
Onkologie | |||
Impressum Zuletzt geändert am 08.04.2023 19:07