zurück Home

Colon - Karzinom: Fernmetastasen

allgemeines Beispiele bildgebender Diagnostik
Lebermetastasen
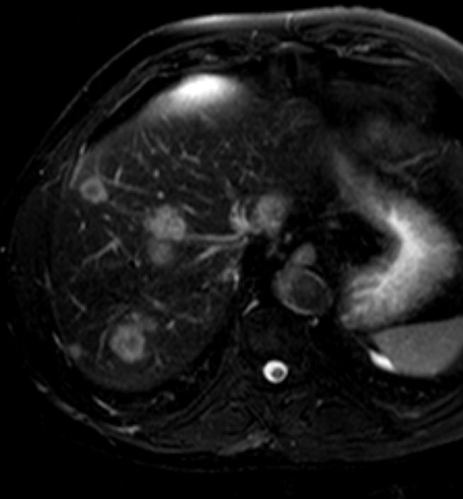
Lebermetastasen bei Sigmakarzinom, MRT (T2W-Spiral, 3 Min. nach KM)
67-jähriger Mann mit primär pulmonal und hepatisch metastasiertem Tumor der rechten Colon-Flexur. Im Nativ-CT Metastasen undeutlich.
CT Kontrastmittel arterielle Phase: Metastasen deutlich.
CT Kontrastmittel venöse Phase: Metastasen sehr deutlich.
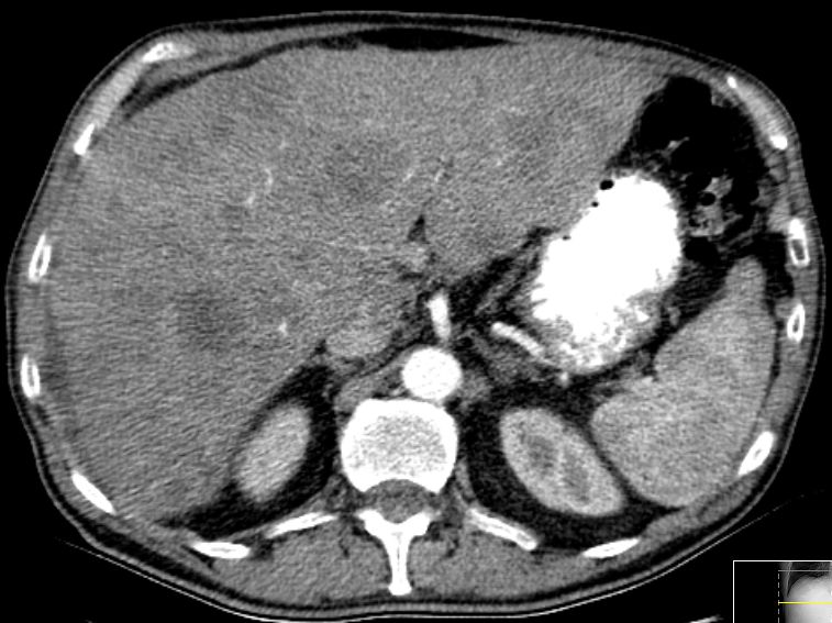
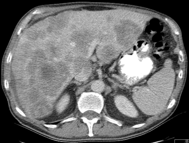
39-jährige Frau mit einem primär hepatisch metastasierten Transversum-Karzinom. Histologisch gering differenziertes Adenokarzinom ras-Wildtyp. Das CT zeigt eine große Metastase im rechten Leberlappen und eine Metastase im Lobus caudatus. Letztere ist schwer zu resezierten und sollte in einem Zentrum operiert werden.
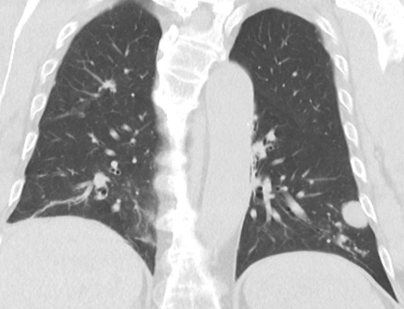
Lungenmetastasen 66-jähriger Mann mit stenosierendem Karzinom der Fexura coli dextra. Lymphknotenmetastasen. 2 Lungenmetastasen.
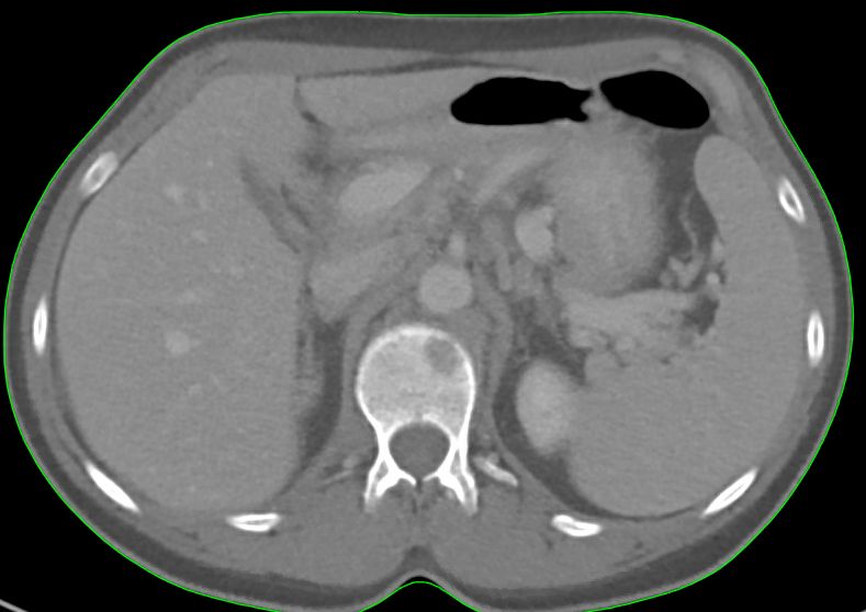
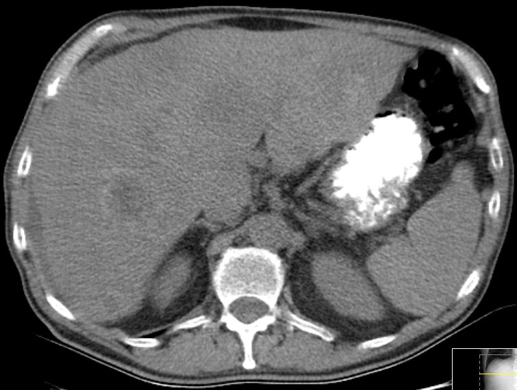
Nebenniere 71-jähriger Mann, der vor 3 Jahren ein Caecum-Karzinom hatte. Jetzt Progress der Lebermetastasen und große Nebennierenmetastase rechts.
Knochenmetastasen
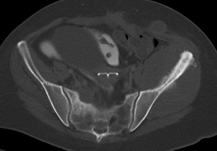
51-jährige Frau, bei der vor 4 Jahren ein Colon-ascendens Karzinom im Stadium pT3d N0 (0/20) L0 V0 G2 mit Hemicolektomie behandelt wurde.
K-RAS - Mutation vorhanden. Adjuvant Capecitabin.
Vor 4 Jahren Ovarialmetastasen: OP, dann FOLFIRI.
Vor 3 Jahren Resektion von Bauchdeckenmetastasen.
Vor 2,5 Jahren Resektion von inguinalen LK-Metastasen und Hautmetastasen. Post OP Bevacizumab/FOLFIRI.
Vor 2 Jahren Lebermetastasen.

Jetzt Schmerzen im linken Becken und Gesäß. Metastase der linken Beckenschaufel mit großem Weichteiltumor.
Im Knochenfenster.
41-jährige Patientin, bei der vor einem Jahr Kolonkarzinom mit zahlreichen Lymphknotenmetastasen operiert wurde. Jetzt ausgedehntes Lymphknotenrezidiv abdominal und mediastinal. Ein retrocruraler Lymphknoten hat den ersten Lendenwirbel infiltriert. L1-Metastase
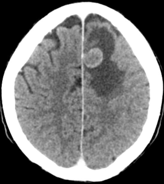
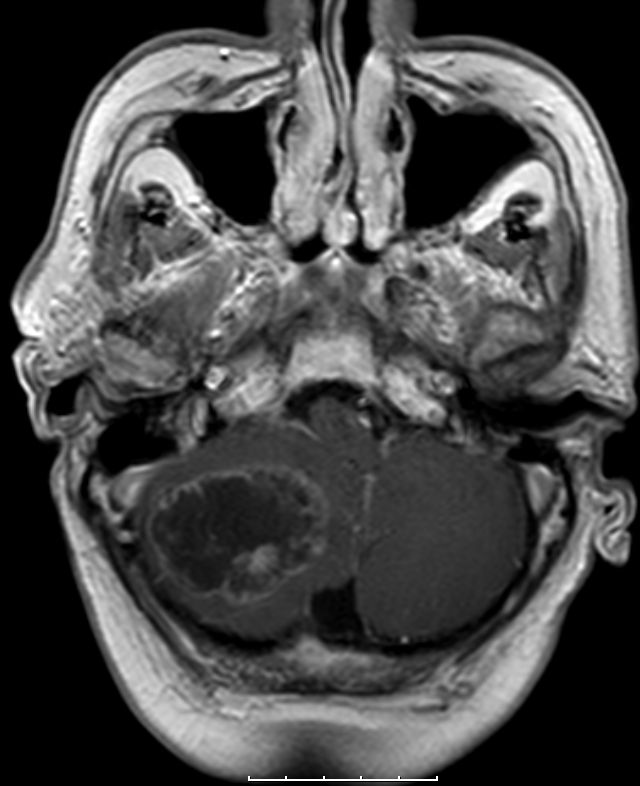
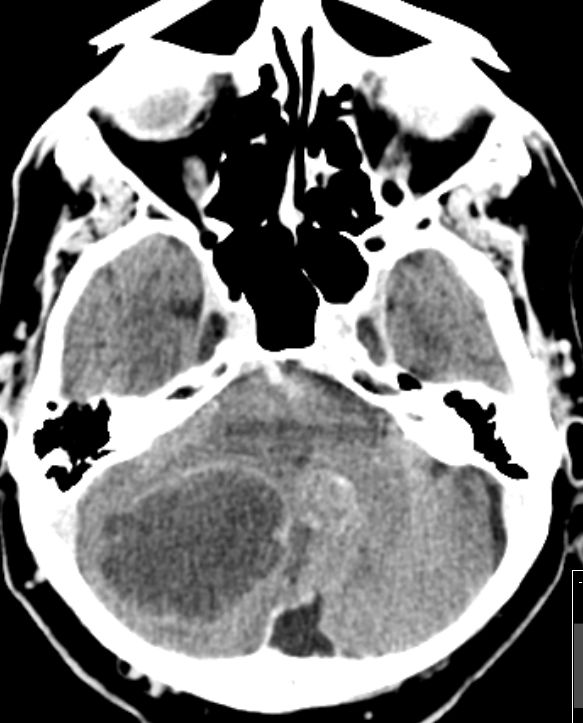
Hirnmetastasen 72-jähriger Mann, der 1 Jahr nach einem Caecumkarzinom cT3 cNo G3, eine Kleinhirnmetastase entwickelte. Abdomen und Leber frei.
CT nach KM-Gabe und MRT:
MRT:
Rundherd linke Lunge
Hirnmetastasen CT nach KM-Gabe: Hirnmetastase
Quellen 1.)

blauer Punkt

Impressum                           Zuletzt geändert am 26.09.2020 19:18